膝周囲骨切り術について
『膝骨切り ラーニングセンター』に認定
2024年11月、当院は「膝骨切り ラーニングセンター」 に認定されました。
九州で2件目の施設となります。全国から先生方が骨切り術の研修にみえる予定です。
膝周囲骨切り術とは
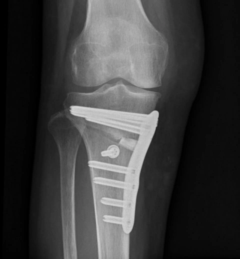
膝の治療のための手術です。変形した脛骨を一部切り、骨の角度を調整して、膝関節への負担を減少させます。
これにより、歩行時や日常生活での痛みや不快感が改善されることが期待されます。
膝痛の主な原因である「変形性膝関節症」は、症状に応じ治療の選択肢が異なります。これまで外科的治療の多くは人工関節置換術が行われてきましたが、橘病院では膝周囲骨切り術(AKO;Around the Knee Osteotomy)も選択肢として提供いたします。
侵襲が少なく、また関節が温存または再生されるこの方法は手術後の日常生活に対する制限が比較的少なく、完治すればその後のスポーツや正座が可能になるなど患者さんのQOL向上に大きく寄与します。
(参照)https://www.biomaterial.co.jp/jp/company/about/
石田Dr監修の骨切り術パンフレットが完成しました!


-
石田Dr自己紹介
経歴・受賞歴など
-
骨切り術に関する論文
破局的思考が内側楔状開大式脛骨粗面下骨切り術の術後成績に与える影響について
-
骨切り 手術見学パンフレット
