CT検査
CT検査とは
CTとはComputed Tomography:コンピュータ断層撮影の略称で、X線とコンピュータを用いて輪切りの画像を取得する検査です。
現在は、コンピュータの進歩によりとても細かな輪切りの画像を取得できることから三次元(3D)画像や任意の断面(MPR:multi-planar reconstruction)の画像を作成することが可能です。これらの画像を用いて病変の部位を詳しく診断したり、手術の計画を立てたり、患者様へのご説明を行っております。
患者様は、X線が照射されているドーナツ状の部分を寝台に寝た状態で通過して頂く検査です。
左TKA術後3D
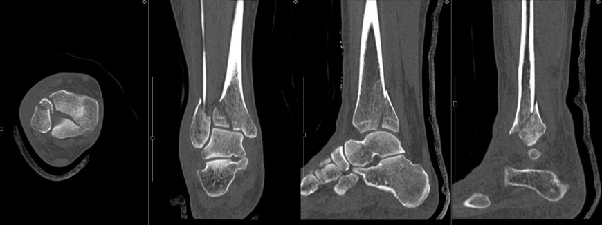
右足関節骨折 MPR
右足関節骨折 3D
右足関節骨折 軟部条件
膝関節 立体像
膝関節 断面像
検査上の注意
撮影場所周囲の金属や外用貼付薬(シップ)など
撮影する場所に金属や外用貼付薬などがあると観察したい所と重なってしまい十分な診断が出来ない場合があります。ご相談の上、更衣や外して頂く場合がございます。
妊娠中また妊娠の可能性のある場合
妊娠中または妊娠の可能性のある場合は必ず(医師・看護師・診療放射線技師に)ご相談・お申し出下さい。
ペースメーカーを使用していらっしゃる患者様の場合
ペースメーカーを使用していらっしゃる患者様は必ず(医師・看護師・診療放射線技師に)ご相談・お申し出下さい。
